عکس رادیولوژی از مچ پا

- محمد علی
- 26 مرداد 1403
- 3 دیدگاه
همه چیز درباره رادیولوژی مچ پا. رادیولوژی چیست؟ چرا این تصویربرداری تجویز می شود؟ نوبت گیری برای رادیولوژی مچ پا و ...
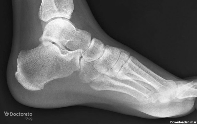
رادیولوژی مچ و کف پا در منزل تهران و کرج رادیولوژی در منزل مچ پا و کف پای انسان یک روش تصویربرداری پزشکی است که برای مشاهده و تحلیل ساختارهای داخلی مچ پا، از جمله استخوانها، مفاصل، و بافتهای نرم، به کار میرود. عکس مچ پای انسان به ویژه در تصویربرداری مچ پا، میتواند در تشخیص شکستگیها، آسیبها، التهابات، یا مشکلات مربوط به استخوانها و مفاصل کمک کند. رادیولوژی در منزل مچ پا و مچ دست در منزل تهران و کرج یک روش تصویربرداری پزشکی است که برای مشاهده و تحلیل ساختارهای داخلی مچ پا، از جمله استخوانها، مفاصل، و بافتهای نرم، به کار میرود. عکس مچ پای انسان به ویژه در تصویربرداری مچ پا، میتواند در تشخیص شکستگیها، آسیبها، التهابات، یا مشکلات مربوط به استخوانها و مفاصل کمک کند.
برای درمان شکستگی مچ پا ابتدا باید تشخیص به درستی صورت بگیرد. مهم ترین ابزار برای تشخیص این نوع شکستگی بررسی تصاویر رادیوگرافی است.
عکس از ۳ مفصل ران و زانو و مچ پا،رادیوگرافی تمام قد برای تعیین و اندازه گیری هم ترازی اندام با محورهای فیزیولوژیکی و زوایای مکانیکی و آناتومیک اندام تحتانی است.
همه چیز درباره رادیولوژی پا. رادیولوژی چیست؟ چرا این تصویربرداری تجویز می شود؟ نوبت گیری برای رادیولوژی پا و ...
انجام رادیولوژی در منزل کلیه مناطق تهران : رادیولوژی ریه در منزل ، رادیولوژی لگن در منزل ، رادیولوژی فمور در منزل ، رادیولوژی ستون فقرات در منزل
ام آر آی قوزک پا به دلیل بررسی مشکل ارتوپدی، پیچ خوردگی و رگ به رگ شدن قوزک و مچ پا انجام می شود. این اسکن سرپایی است.
در این مقاله با علائم و درمان شکستگی قوزک پا و شکستگی مچ پا و در رفتگی مچ پا از درمان های جراحی و غیر جراحی تا درمان خانگی صحبت میکنیم
رایگان ثبت نام کنید و اولین نفری باشید که از پست های جدید مطلع می شوید.