عکس سیتی اسکن بازیکن عربستان

- محمد علی
- 19 دی 1402
- 3 دیدگاه
یاسر الشهرانی بازیکن عربستان سعودی در دقایق پایانی دیدار مقابل آرژانتین و در شرایطی که با نتیجه ۲ بر یک از آلبی سلسته پیش بودند، هنگام دفع توپ توسط دروازه خودی به شدت با او برخورد کرد.
رخورد شدید محمد الاویس با یاسر الشهرانی باعث مصدومیت مدافع عربستان شد.
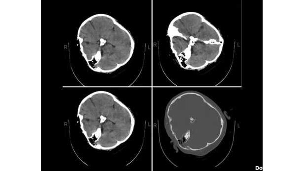
تصویری از جمجه شکستهشده یاسر الشهرانی مدافع تیمملی عربستان نشان میدهد وضعیت شکستگی صورت وی بسیار وخیم است و باید سریعا تحت عملجراحی قرار بگیرد.
متخصصان نرورادیولژی هیأت بورد رادیولوژی وزارت بهداشت در پاسخ به استعلام ریاست سازمان نظام پزشکی درباره تصاویر «سی تی اسکن» منتشر شده از مرحوم مهسا امینی با انتشار بیانیه ای اعلام کردند که «هیچ شواهدی از خونریزی مغزی در این تصاویر به چشم نمی خورد.»
یاسر الشهرانی به دلیل مصدومیت شدید در بازی مقابل آرژانتین ادامه جام جهانی ۲۰۲۲ قطر را از دست داد.
در واپسین دقایق دیدار عربستان مقابل آرژانتین، یاسر الشهرانی پس از برخورد با محمد العیوس دچار مصدومیت شدید از ناحیه صورت شد و با برانکارد از زمین بازی بیرون رفت.
رایگان ثبت نام کنید و اولین نفری باشید که از پست های جدید مطلع می شوید.