عکس رنگی رحم لوله ها را باز میکند

- محمد علی
- 28 دی 1402
- 3 دیدگاه
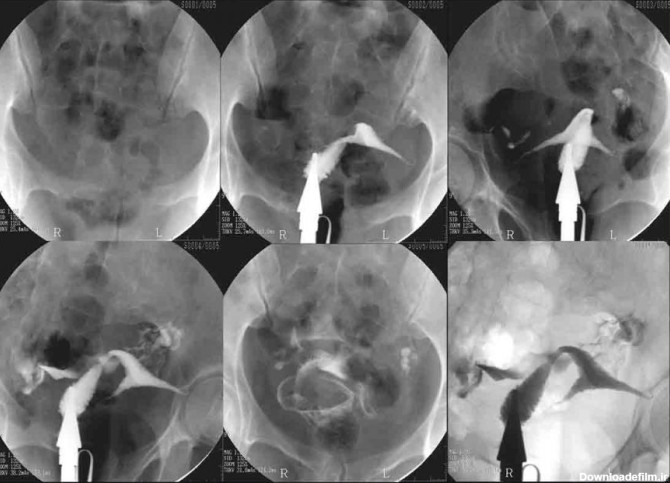
عکس رنگی رحم یا هیستروسالپینگوگرافی به معنای استفاده از اشعه ایکس برای مشاهده رحم و لولههای فالوپ است.
عکس رنگی رحم بدون درد؛ هیستروسالپنگوگرافی برای مشاهده داخل رحم و لوله های فالوپ استفاده می شود. می تواند نشان دهد که داخل رحم اندازه و شکل طبیعی دارد یا خیر.
رایگان ثبت نام کنید و اولین نفری باشید که از پست های جدید مطلع می شوید.