عکس دندان در شاهین شهر

- محمد علی
- 08 بهمن 1402
- 3 دیدگاه
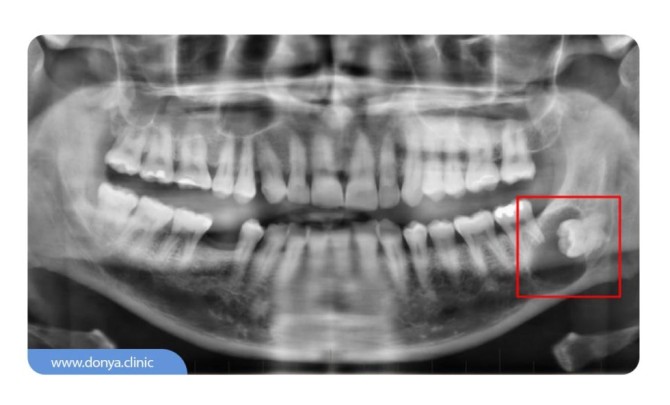
علم رادیولوژی شاخه ای از علم پزشکی است که برای تشخیص و همینطور درمان بیماری های جسمی استفاده می شود.
ونیر کامپوزیت دندان در شاهین شهر، معرفی بهترین متخصصان ونیر کامپوزیت دندان در شاهین شهر اصفهان، برای اطلاعات بیشتر کلیک کنید.
کلینیک دندانپزشکی فردوسی شاهین شهر اصفهان با ارائه کلیه خدمات دندانپزشکی عمومی و تخصصی شامل: ترمیمی و زیبایی ، درمان ریشه ، ارتودنسی ، جراحی ، کاشت دندان یا ایمپلنت ، پروتز ثابت و متحرک به عنوان بهترین کلینیک دندانپزشکی در شاهین شهر اصفهان در خدمت عموم مردم می باشد.
دکتر متخصص ارتودنسی شاهین شهر ،دندان پزشکی اقساطی در شاهین شهر ،ارتودنسی متحرک در شاهین شهر،کلینیک ارتودنسی شاهین شهر
موقعیت درمانگاه امام حسین یکی از درمانگاههای خوب منطقه شاهین شهر را به همراه آدرس تلفن و نظرات کاربران در نقشه نشان ببینید.
رایگان ثبت نام کنید و اولین نفری باشید که از پست های جدید مطلع می شوید.