عکس رنگی رحم سالم

- محمد علی
- 10 اسفند 1402
- 3 دیدگاه
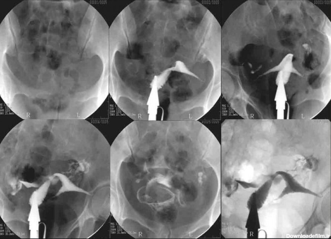
عکس رنگی رحم یا هیستروسالپینگوگرافی به معنای استفاده از اشعه ایکس برای مشاهده رحم و لولههای فالوپ است.
عکس رنگی،عکس رنگی از رحم،هیستروسالپنگوگرافی,عکسبرداری رنگی از رحم،عوارض عکس رنگی رحم،عکس رنگی رحم چیست،نحوه انجام عکس رنگی رحم،تفسیر عکس رنگی رحم
عکس رنگی رحم چیست؟ یک آزمایش اشعه ایکس که برای بررسی رحم و لوله های فالوپ و ناحیه اطراف آنها نگاه می کند و برای بررسی مشکلات ناباروری ممکن است انجام شود.
عکس رنگی رحم برای بررسی مشکلات باروری در خانم ها انجام می شود. بهترین زمان انجام عکس رنگی رحم یک هفته بعد از پریود شماست. و نزدیکی قبل از عکس رنگی رحم باید محافظت شده باشد.
عکس رنگی رحم یا هیستروسالپنگوگرافی یکی از روش های تشخیصی شیوه ی تصویربرداری با اشعه ایکس است که معمولاً برای بررسی آناتومی رحم و لوله ها انجام میشود. عکس رحم
الزاما در عکسبرداری رنگی رحم فرد بیهوش نمیشود، بنا به صلاحدید پزشک و انتخاب بیمار تصمیمگیری میشود که آیا بیمار تحت بیهوشی قرار گیرد یا خیر؟
تصویربرداری رنگی رحم برای زنانی انجام می شود که دارای مشکلات باروری می باشند.یکی از رایج ترین مشکلات ناباروری ...
رایگان ثبت نام کنید و اولین نفری باشید که از پست های جدید مطلع می شوید.