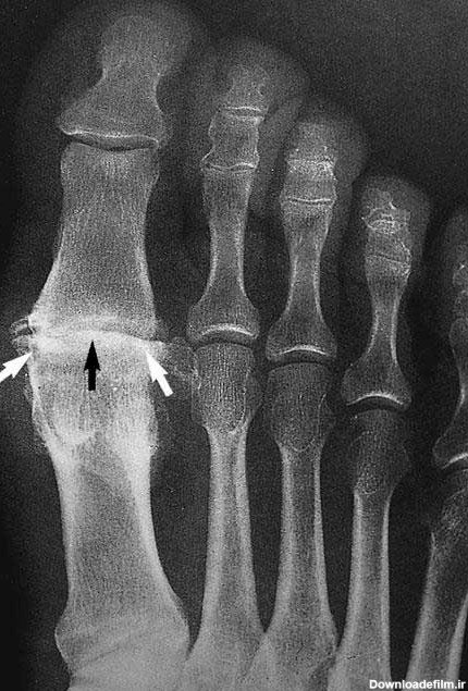
عکس رادیولوژی مچ پای چپ

- محمد علی
- 25 اسفند 1402
- 3 دیدگاه
مچ پا چطور شکسته میشود. علائم شکستگی مچ پا چیست. شکستگی مچ پا چطور تشخیص داده میشود. به چه عللی استخوان های مچ پا شکسته میشوند
رادیوگرافی ها ممکن است با اشعه مرکزی عمود بر صفحه IR یا زاویه دهی 10 درجه به سمت خلف ( به سمت پاشنه ) بدست آید . زمانی که زاویه ی 10 درجه به سمت خلف استفاده می شود ، اشعه مرکزی عمود بر متاتارس ها و کوتاه شدگی کاهش می یابد .همچنین فضای مفصل TMT در ناحیه ی میانی کف پا بهتر نشان داده می شوند . ( تصاویر 6-39,6-40)
آناتومی مچ پا، آناتومی رباط های مچ پا، آناتومی لیگامان های مچ پا، تشریح مچ پا، تشریح رباط های مچ پا، رباط جانبی مچ پا، رباط کلترال مچ پا
در این مقاله با علائم و درمان شکستگی قوزک پا و شکستگی مچ پا و در رفتگی مچ پا از درمان های جراحی و غیر جراحی تا درمان خانگی صحبت میکنیم
یکی از شایعترین ضایعات مچ پا، پیچخوردگی یا اسپرین کشیدگی رباطهای مچ پا است و این آسیبدیدگی بیشتر متوجه ورزشکاران رشتههایی چون فوتبال و بسکتبال است بین ۷۰ تا ۸۰ درصد …
آرتریت التهاب یک یا چند مفصل است. می تواند باعث درد و سفتی در همه مفاصل بدن شود و در مفاصل کوچک پا و مچ پا شایع است. بیش از ۱۰۰ نوع آرتریت وجود دارد، بسیاری از آن ها پا و مچ پا را تحت تاثیر قرار می دهند. تمامی انواع آن می تواند راه […]
سرطان استخوان پا از جمله بیماریهای نادر و سختی است که عموما خوشخیم است و خوشبختانه با تشخیص بهموقع قابل درمان است.
در این مقاله با علائم و درمان شکستگی قوزک پا و شکستگی مچ پا و در رفتگی مچ پا از درمان های جراحی و غیر جراحی تا درمان خانگی صحبت میکنیم
رایگان ثبت نام کنید و اولین نفری باشید که از پست های جدید مطلع می شوید.