تصویر برداری ماموگرافی

- محمد علی
- 28 اسفند 1402
- 3 دیدگاه
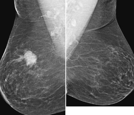
ماموگرافی یکی از روش های تشخیص زودهنگام سرطان سینه است. ماموگرافی در آروین سنتر توسط مجهزترین دستگاه ها زیرنظر مجر ترین متخصصین انجام میگیرد.
رایگان ثبت نام کنید و اولین نفری باشید که از پست های جدید مطلع می شوید.