عکس رادیولوژی مچ دست راست شکسته

- محمد علی
- 21 خرداد 1403
- 3 دیدگاه
همه چیز درباره رادیولوژی مچ دست. چرا این رادیولوژی تجویز می شود؟ خطرات این تصویربرداری چیست؟ نوبت گیری برای رادیولوژی مچ دست و ...
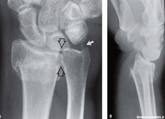
شکستگی های استخوانهای مچ دست شایع در اندام فوقانی به حساب می آید که در اثر زمین خوردن و هایپراکستنشن مچ دست بیش از 95 درجه و تحت فشار قرار گرفتن اسکافویید.
فیزیوتراپی افق روشن02188686800.ترمیم شکستگی کالیس.بازگردانی قدرت مچ دست پس از شکستگی با موبیلیزیشن.
صندلی بیمار را به قدری پایین بیاورید تا شانه در تماس با تخت قرار گیرد. یا اندام فوقانی را تا شانه بلند کرده و روی یک تکیه گاه قرار دهید. این وضعیت باعث می شود تا شانه ، آرنج و مچ در یک سطح قرار گرفته و چرخش استخوان های رادیوس و اولنا در زاویه ی 90 درجه امکان پذیر باشد.
نشسته برروی صندلی در انتهای تخت رادیوگرافی به صورتی که بازو و ساعد برروی تخت قرار گیرند
استخوان اسکافوئید (ناوی)،یکی از استخوان های کوچک مچ دست است. شکستگی اسکافویید اغلب در پی افتادن بر روی دست باز شده به سمت بیرون رخ می دهد. علائم شکستگی استخوان اسکافوئید معمولاً درد و حساسیت دقیقا در ناحیه ابتدایی انگشت شست است. وقتی می خواهید چیزی را فشار دهید یا بگیرید، ممکن است این علائم […]
آناتومی استخوان ها و مفاصل مچ دست چیست، آناتومی استخوان های مچ دست چگونه است، تشریح استخوان و مفصل مچ دست
رایگان ثبت نام کنید و اولین نفری باشید که از پست های جدید مطلع می شوید.