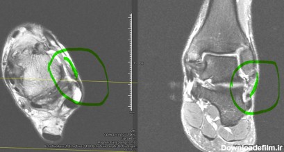
عکس ام ار ای پارگی رباط مچ پا

- محمد علی
- 05 مرداد 1403
- 3 دیدگاه
ام آر آی مچ پا یکی دیگر از اسکنهای شایع تصویربرداری پزشکی با ام آر آی است. در این اسکن به بررسی مچ پا ، پاشنه پا تاندون پا ، انگشتهای پا میپردازند.
پیچ خوردگی مچ پا و کشیدگی تاندون روی پا در آسیب های ورزشی جزو شایع ترین آسیب ها محسوب می شود. با توجه به اینکه این عارضه در اکثر ورزشکاران روی می دهد و می تواند عملکرد ورزشی را دچار اختلال نماید روش های درمانی موجود در کلینیک فیزیوتراپی مرکزی شریعتی برای درمان این گونه بیماران توصیه گردیده است.
رایگان ثبت نام کنید و اولین نفری باشید که از پست های جدید مطلع می شوید.