خانه
دسته بندی
عکس ژست
عکس ورزشی
عکس ادکلن
عکس انگیزشی
عکس انیمه
عکس پروفایل
عکس تبریک
عکس ترسناک
عکس تسلیت
عکس خنده دار
عکس دخترونه
عکس زمینه موبایل
عکس طبیعت
عکس عاشقانه
عکس غمگین
عکس کارتونی
عکس کتاب
عکس کودکان
عکس گل
عکس لباس
عکس نوشته دار
درباره ما
ارتباط با ما
عکس
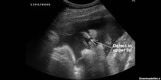
عکس سونو جنین لب شکری
محمد علی
16 مرداد 1403
3 دیدگاه
آیا لب شکری بودن جنین در دوره بارداری قابل تشخیص است؟
آیا لب شکری بودن جنین در دوره بارداری قابل تشخیص است؟
فرارو | عوامل بروز لب شکری در نوزادان چیست و چه درمانهایی دارد؟
شکاف کام | عکس جنین لب شکری در سونوگرافی
عکس سونو جنین لب شکری
16 مرداد 1403
عکس جنین پسر و دختر در سونو
22 آبان 1402
امکان شناسایی جنین مبتلا به لب شکری از طریق سونوگرافی
ایا لب شکری در غربالگری مشخص میشود بایگانی
شکاف کام چیست | تشخیص لب شکری در سونوگرافی | یک زن
ایا لب شکری بودن جنین در سونوگرافی معلوم است؟ | سونو آنومالی
عکس سونو جنین پسر نی نی سایت
30 دی 1402
عکس سونو جنین پسر و دختر
18 بهمن 1402
امکان شناسایی جنین «لب شکری» با سونوگرافی
آیا تشخیص شکاف کام قبل از تولد امکان پذیر است
عکس سونو جنین پسر نی نی سایت
30 دی 1402
عکس سونو جنین یک ماهه
16 مرداد 1403
عکس جنین لب شکری
02 دی 1402
عکس سونوگرافی جنین لب شکری
03 دی 1402
عکس جنین لب شکری در سونوگرافی
17 دی 1402
شكاف كام عکس سونوگرافی جنین لب شکری
16 مرداد 1403
عکس سونو پسر نی نی سایت
16 مهر 1402
عکس سونو انتی پسر و دختر
20 مهر 1402
عکس سونو دختر و پسر نی نی سایت
19 آبان 1402
عضویت در خبرنامه
رایگان ثبت نام کنید و اولین نفری باشید که از پست های جدید مطلع می شوید.
عضویت
دانلود فیلم
فیسبوک
توییتر
اینستگرام
یوتیوب
جستجو