عکس پین مچ دست

- محمد علی
- 04 شهریور 1403
- 3 دیدگاه
دکتر_محمد_دهقانی_فوق_تخصص_جراحی_دست_جراحی_شانه_جراحی_ارنج_کارپال_تانل_سندرم_شکستگی_های_مچ دست_دررفتگی_های_مچ_دست_شکستگی_دررفتگی_های_ارنج_شکستگی_دررفتگی_های_شانه_تنیس_البوگلف البو_روتاتورکاف_شانه_منجمد
فیزیوتراپی افق روشن پس از شکستگی مچ دست قدرت آن را با روشهای مختلف از جمله موبیلیزیشن بر خواهد گرداند. برای رزرو نوبت تماس بگیرید.
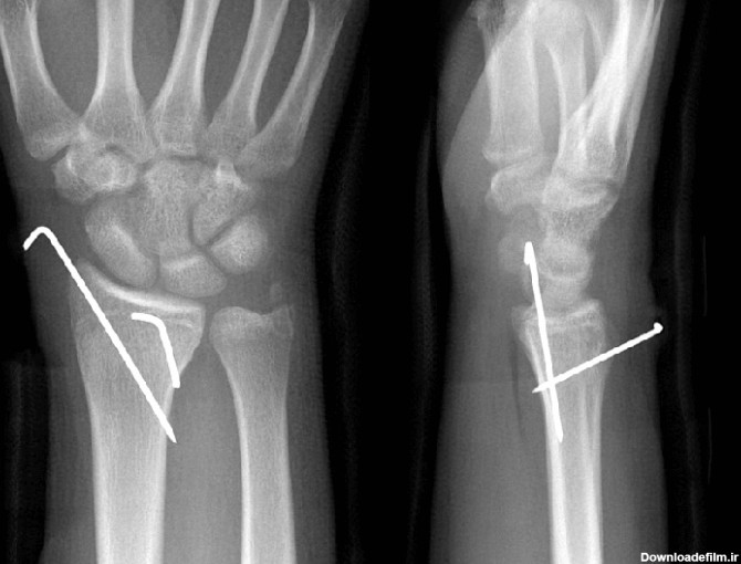
علایم شکستگی در مچ دست نحوه تشخیص شکستگی مچ دست انواع شکستگی در مچ دست
تجهیزات تثبیت کننده ارتوپدی در درمان بسیاری از شکستگی ها و جراحی های ترمیمی کاربرد وسیعی دارند. بسیاری از موارد شکستگی های همراه با جابجایی استخوان با عمل جراحی درمان می شوند و در اغلب آنها از تجهیزات تثبیت کننده (ایمپلنت) داخلی، خارجی و یا داخل کانال استخوانی به منظور ثابت کردن و تنظیم جایگاه …
آرتریت شامل التهاب یک یا چند مفصل است. درد و سفتی جزء علائم متداول آرتریت محسوب می شوند، و در زمان بروز این علائم در مچ دست، فعالیت های ساده روزمره می تواند با مشکل مواجه شود. آرتریت انواع مختلفی دارد و بیش تر این موارد می توانند مچ دست را درگیر کنند. هرچند شدت […]
انواع شکستگی مچ دست چیست، علت شکستگی کالیس در مچ دست، تشخیص شکستگی کالیس در مچ دست، متخصص ارتوپد چگونه شکستگی کالیس در مچ دست را تشخیص میدهد
رایگان ثبت نام کنید و اولین نفری باشید که از پست های جدید مطلع می شوید.