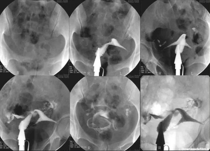
جواب عکس رنگی رحم ناسالم
 
- محمد علی
- 17 آبان 1402
- 3 دیدگاه
عکس رنگی رحم یا هیستروسالپنگوگرافی یکی از روش های تشخیصی شیوه ی تصویربرداری با اشعه ایکس است که معمولاً برای بررسی آناتومی رحم و لوله ها انجام میشود. عکس رحم
سلام بچها از این عکس رنگی سر در میارید؟ چسبندگی رحم وجود داره؟ بارداری ممکنه یا نه؟
عکس رنگی رحم چیست و آیا واقعا رنگی است؟ با دلیل درخواست عکس رنگی رحم و نحوه انجام هیستروسالپنگوگرافی آشنا شوید.
مرکز سونوگرافی الوند با حضور کادر مجرب و آموزش دیده و با استفاده از بروزترین تجهیزات روز دنیا خدمات سونوگرافی مانند سونوگرافی بارداری، سونوگرافی غدد لنفاوی، سونوگرافی هیستروگرافی، سونوگرافی مپینگ اندومتریوز، خدمات ماموگرافی دیجیتال، فیبرواسکن یا الاستوگرافی ارائه می دهد.
الزاما در عکسبرداری رنگی رحم فرد بیهوش نمیشود، بنا به صلاحدید پزشک و انتخاب بیمار تصمیمگیری میشود که آیا بیمار تحت بیهوشی قرار گیرد یا خیر؟
رایگان ثبت نام کنید و اولین نفری باشید که از پست های جدید مطلع می شوید.