عکس سونوگرافی جنین سندروم داون

- محمد علی
- 01 آذر 1402
- 3 دیدگاه
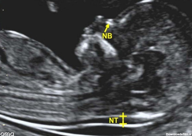
سونوگرافی NT مخفف nuchal-translucency به معنای فضای شفاف پشت گردن است و احتمال بروز نقایص کروموزومی را پیش بینی می کند. تمام جنین ها پشت گردنشان مایع دارند
کاربرد سونوگرافی NT - برای تشخیص برخی از ناهنجاری های مادرزادی مانند سندرم داون، ناهنجاری های کروموزومی و مشکلات قلبی مادرزادی، از این نوع سونوگرافی ...
آزمایش غربالگری سه ماهه اول من را تفسیر کنید. خیلی نگرانم.
در ۲۷ مورد به شرح ذیل بوده که در ۳۰ درصد جنین های با سندرم داون از موارد زیر فقط یک مورد دیده میشود همچنین در ۳۶ درصد این نوع جنین ها از اشکا
وبینار علمی غربالگری سندرم داون
رایگان ثبت نام کنید و اولین نفری باشید که از پست های جدید مطلع می شوید.