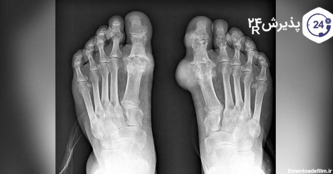
عکس نقرس مچ پا

- محمد علی
 - 12 آذر 1402
 - 3 دیدگاه
 
علائم بیماری نقرس شست پا چیست؟ بهترین قرص رفع نقرس پا کدام است؟ نقرس در پاشنه و قوزک پا چگونه درمان میشود؟ رژیم غذایی نقرس مچ پا شامل چه خوراکی هایی است؟
نقرس چیست، علت ایجاد نقرس،نحوه تشخیص،درمان به وسیله دارو، روش های پیشگیری از ابتلاء و چه غذاهایی برای کسانی که نقرس دارند مفید است یا ضرر دارد
نقرس مچ پا در اکثر موارد غیر قابل پیش بینی است و شما بدون اطلاع از این که کدام مفصل را درگیر کرده، ممکن است دچار این عارضه شده باشید.
رایگان ثبت نام کنید و اولین نفری باشید که از پست های جدید مطلع می شوید.