عکس بیماری های شبیه زگیل تناسلی

- محمد علی
- 16 آذر 1402
- 3 دیدگاه
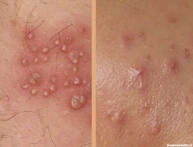
زگیل تناسلی و جوش ممکن است در ظاهر شبیه باشند اما تفاوت هایی دارند که برای تشخیص دقیق تر باید آن ها را بشناسیم.
اگر در ناحیه تناسلی خود نموداری غیرعادی مشاهده کردهاید، نیازی به نگرانی نیست. وجود جوش، زگیل یا هر برآمدگی دیگر در ناحیه تناسلی یا اطراف آن [
اسکین تگ و زگیل تناسلی گاهی با یکدیگر اشتباه گرفته می شوند اما تفاوت اسکین تگ و زگیل را می توان از روی برخی موارد شناسایی کرد. تفاوت آن ها می توان با برخی
افتراق پاپیلوماتوز ولو (یا وستیبولار) از وارت (زگیل) تناسلی، وستیبولار پاپیلوماتوز یا زگیل تناسلی؟در مورد علت وستیبولار پاپیلوماتوز و اهمیت بالینی آن هنوز اختلاف نظر وجود دارد.در گذشته آن را ناشی از عفونت با ویروس پاپیلو
زگیل تناسلی با دیگر زگیل ها اشتباه گرفته می شود در این مقاله عکس زگیل تناسلی در مردان بر روی ناحیه تناسلی آمده است.
رایگان ثبت نام کنید و اولین نفری باشید که از پست های جدید مطلع می شوید.