عکس کیست در ماموگرافی

- محمد علی
- 25 بهمن 1402
- 3 دیدگاه
ماموگرافی هالوژیک یا ماموگرافی معمولی به این صورت می باشد که عکس گرفته شده از بیمار روی فیلم رادیولوژی ثبت می شود و مشابه همان عکس طی یک فرآیند به چاپ می رسد
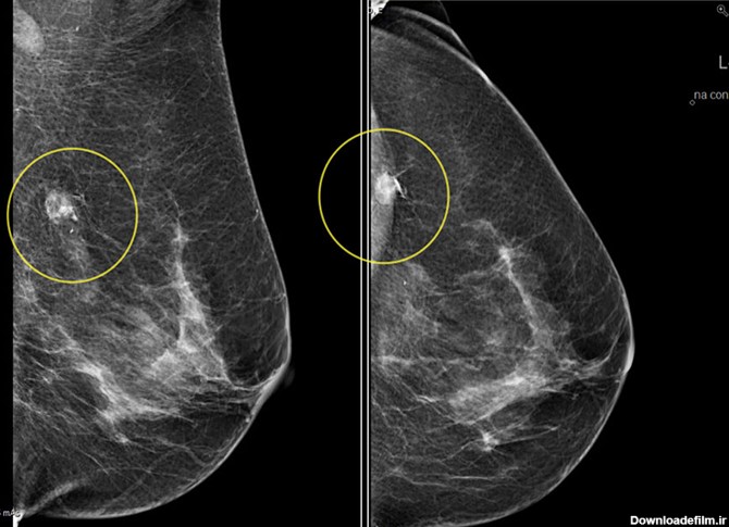
ماموگرافی یکی از روش های تشخیص زودهنگام سرطان سینه است. ماموگرافی در آروین سنتر توسط مجهزترین دستگاه ها زیرنظر مجر ترین متخصصین انجام میگیرد.
ماموگرافی چیست؟؛ماموگرافی معاینه اصلی است که در طول غربالگری های سازمان یافته مورد استفاده قرار می گیرد.ماموگرافی یک عکسبرداری با اشعه ایکس ازپستان(ها) می باشد
ماموگرافی سه بعدی هالوژیک؛ماموگرافی سه بعدی در مرکز جردن به پزشکان کمک می کند تا از نظر سرطان سینه به طور کامل غربالگری کنند
رایگان ثبت نام کنید و اولین نفری باشید که از پست های جدید مطلع می شوید.