عکس ماموگرافی

- محمد علی
- 07 آبان 1402
- 3 دیدگاه
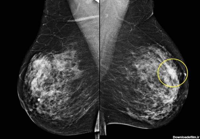
ماموگرافی یا ماموگرام، تصویر اشعه ایکس از پستان می باشد تا موارد سرطان پستان را غربالگری کند. ماموگرافیها نقش مهمی در تشخیص زودهنگام سرطان بازی میکنند و به کاهش مرگ و میرهای ناشی از سرطان سینه کمک میکنند.
ماموگرافی سه بعدی هالوژیک؛ماموگرافی سه بعدی در مرکز جردن به پزشکان کمک می کند تا از نظر سرطان سینه به طور کامل غربالگری کنند
ماموگرافی یکی از راههای تشخیص سرطان پستان در زنان می باشد که منجر به کشف سرطان در مراحل اولیه می شود. در این مطلب، به چیستی و چگونگی ماموگرافی خواهیم پرداخت.
In a study of screening mammography-detected breast cancers, patients who had more frequent screening mammography had a significantly lower rate of lymph node positivity — or cancer cells in the lymph nodes — as compared to women who went longer intervals between screening mammography exams.
ماموگرافی، تصویربرادی از سینه و از مهمترین ارکان تشخیص سرطان سینه یا هر بیماری سینه است. این سرطان بین خانمها شایع است و باید مرتب سلامت سینه را چک کرد.
رایگان ثبت نام کنید و اولین نفری باشید که از پست های جدید مطلع می شوید.